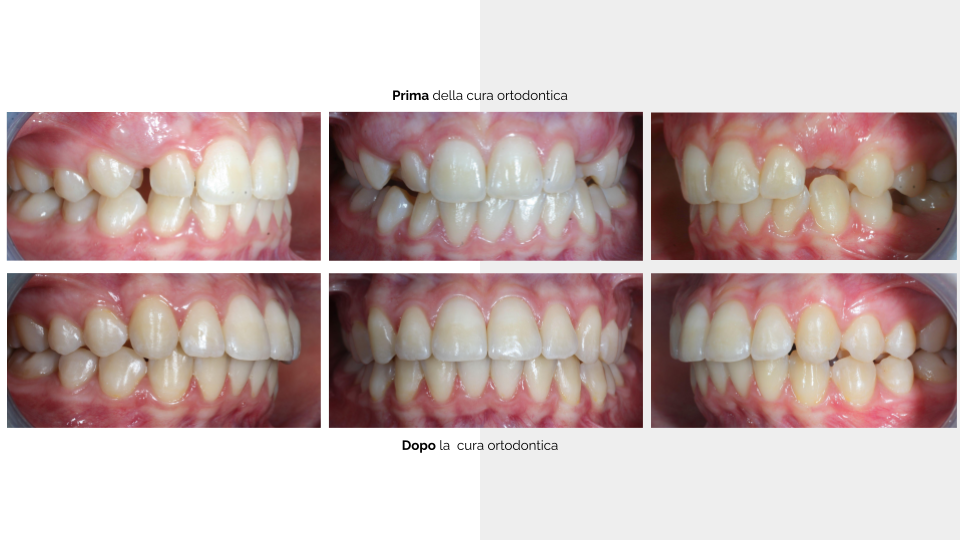
Mio. Elena - 13 anni
|  | 
| Presentazione del caso clinico ortodontico Dr.ssa. Balestro Francesca - Dr. Balestro Giuseppe - Dr.ssa Rampulla Ylenia - Dr. Vasic Dimitrije -  Dr. Volpato Andrea ASO Alessia, Antonella, Elena, Sophia, Stefania, Veronica | 
|  | 
| Presentazione del caso clinico ortodontico Dr.ssa. Balestro Francesca - Dr. Balestro Giuseppe - Dr.ssa Rampulla Ylenia - Dr. Vasic Dimitrije -  Dr. Volpato Andrea ASO Alessia, Antonella, Elena, Sophia, Stefania, Veronica |