- Diagnosi di Mih, migliore classificazione è quella Eapd. La classificazione clinica più semplice ed efficace dei casi di molar incisor hypomineralization è quella proposta dalla European Accademy of Paediatric Dentistry, che distingue in quadri di Mih lieve e severa. Dental Academy. 13 Nov 2025.
- Does early extraction of first permanent molars disrupt eruption patterns? We are all familiar with the decision to extract first permanent molars due to caries or hypomineralization. This new trial investigates the eruption patterns of teeth following early loss of first molars with MIH. The results are encouraging.
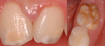
- Importanza di saper leggere lo smalto. Odo 33 - 29 nov 2023
- Infiltrazione di resina e miglioramento estetico dei denti anteriori affetti da ipomineralizzazione molare-incisiva. Valutazione dell'efficacia dell'infiltrazione di resina nel migliorare l'aspetto estetico dei denti anteriori affetti da ipomineralizzazione molare-incisiva. Odontoiatria33 - 1 ott 2024
- Ipomineralizzazione molari-incisivi: ecco i probabili fattori eziologici. Una revisone sistematica ha fatto il punto sui fattori eziologici chiamati in causa nei processi di ipomineralizzazione pre-eruttiva di molari e incisivi (Mih). I più probabili sono ipossia perinatale, infezioni di varia natura, episodi febbrili e malattie renali.
- Mih in età pediatrica, efficace la gestione con argento diammina fluoro o tecnica smart.
- MIH, una problematica che può incidere molto sulla vita dei pazienti. La Molar and Incisor Hypomineralization è un difetto qualitativo dello smalto: una revisione sistematica indaga il miglior management per questo quadro clinico.
Highlights
- Certificazione - Norma UNI EN ISO 9001 - Qualità
- Certificazione - UNI/PdR 125 - Parità di genere
- Codice etico
- Modulo segnalazione anonima per Disparità di Genere - UNI/PdR 125
- Organigrammi
- Politica per la Maternità
- Politica per la Parità di Genere
- Politica per la Qualità
- Questionario anonimo sulla parità di genere nello SDB
- Whistleblowing
Coming Soon
- 23 gen Riesame della Direzione UNI/PdR 125
- 26 gen Restituzione/Book
- 27 gen Concerto TCVI/Giorno della Memoria
- 27 gen Consulenza UNI/PdR 125
- 30 gen Consulenza UNI/PdR 125
- 02 feb Anzianità di servizio/Book
- 05 feb Certificazione UNI/PdR 125
- 12 feb Assemblea SDB srl
- 20 feb Cena di gala
- 28 feb Corso interno BLS-D - 01/2026
